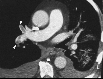
CT Angiogram Showing Filling Defects Consistent With PE

Patient had a low probability lung scan. Clinically there was high index of suspicion for pulmonary embolism.

Next