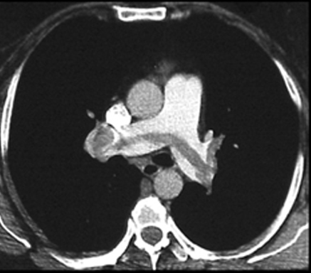
Saddle Embolus

Embolus at the level of division of left and right pulmonary arteries.

 

Next