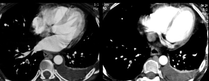
Segmental and Subsegmental Pulmonary Emboli

CT at the level of left atrium showing segmental emboli.

CT below the level of left atrium showing subsegemental emboli.

Next