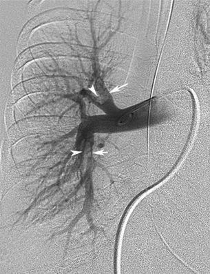
Pulmonary Angiogram: Pulmonary Emboli

Intraluminal defects in the right upper lobe and lower lobe branches of pulmonary artery.

 

Next