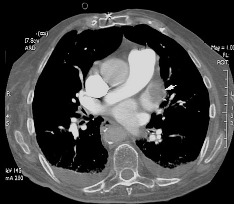
Clot in Left Atrium

A source for systemic embolism in this case.

 

Next