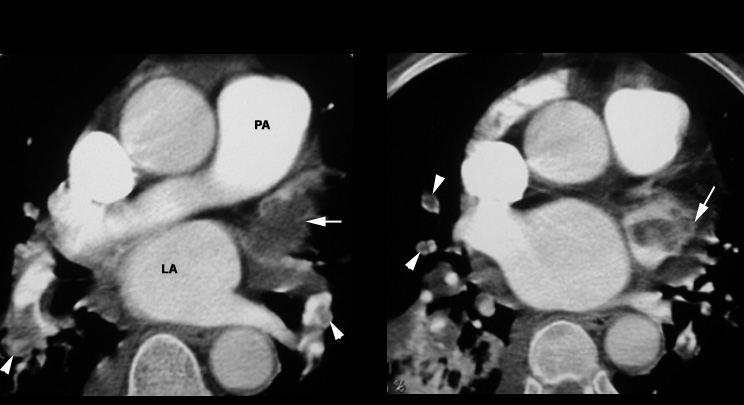
Pulmonary Embolism / Left Atrial Appendage clot

Arrowheads pointing to pulmonary artery branches with intraluminal clots. Arrow: Left atrial appendage with thrombus.

Next