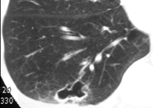
Cavitary Pulmonary Infarct

Surgically proven.

 

Next