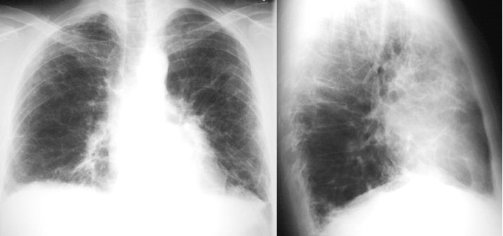
Rheumatoid Lung

Extensive bilateral interstitial fibrosis.

Next