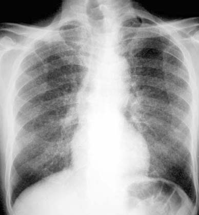
Miliary Tuberculosis

Bilateral diffuse <5mm nodules. Click on the image to see close up.

 

Next