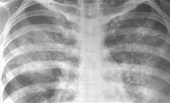
Sarcoidois

Alveolar form

 

Next