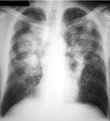
Sarcoidosis

Progressive massive fibrosis

Bilateral upper lobe diseae.

Conglomeration of mass and fibrotic process.

Closely resembles Silicosis.

 

Next