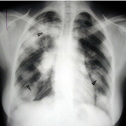
Sarcoidosis

Large nodules with air bronchogram (arrowheads).

Bilateral hilar and paratracheal adenopathy.

Appearance often mistaken for metastatic disease.

 

Next