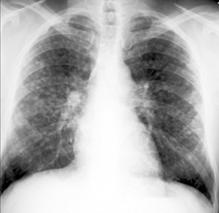
Sarcoidosis

Miliary Nodules

 

Next