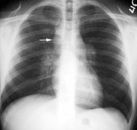
Sarcoidosis

paratracheal nodes

 

Next