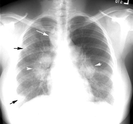
Sarcoidosis

Potato nodes

Arrowheads: Symmetrical hilar nodes

White arrow: Enlarged paratracheal nodes

Black arrows: Alveolar lung infiltrates

 

Next