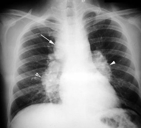
Sarcoidosis

Arrowheads: Bilateral symmetrical hilar adenopathy

Arrow: Paratracheal nodes enlarged.

 

Next