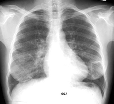
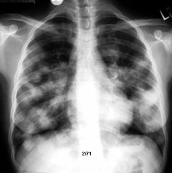
Progression from alveolar pattern to interstitial fibrosis (apparent "radiological improvement", but worsening physiologically)