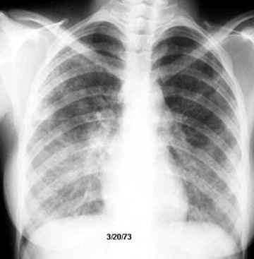
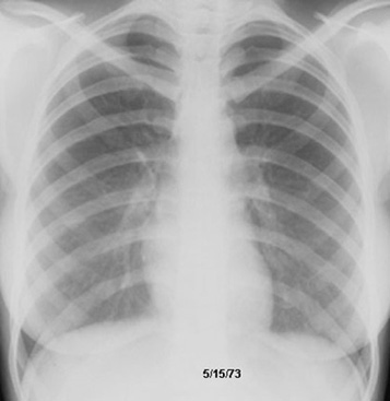
Sarcoidosis Spontaneous regression

Pulmonary function improved along with radiological clearance.

Next