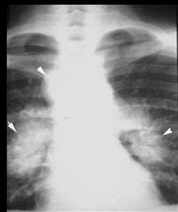
Sarcoidosis Type I

Type I: Adenopathy only

 

Next