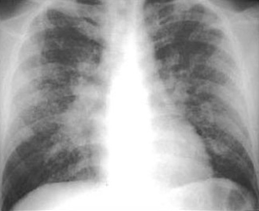
Sarcoidosis Type II

Type II: Adenopathy with parenchymal infiltrates

 

Next