Li-11-3 Developmental disorders of Bile Ducts By Dr. E. Orfei
CONTENTS
Cysts
Congenital polycystic disease
Von Meyenburg complex
Congenital hepatic fibrosis
DILATATIONS
Bile duct atresia, intrahepatic and extrahepatic, syndromatic and non-syndromatic
Caroli's syndrome
Byler's syndrome
Alagille Syndrome
Aagenaes syndrome
Benign recurrent intrahepatic cholestasis
North american indian cholestasis
Recurrent benign cholestasis of pregnancy
SIMPLE CYSTS
They can be solitary or multiple, from few mm to 20 cm in diameter, unilocular. They arise from aberrant bile ducts. They are lined by a uniform cuboidal or columnar epithelium resembling bile duct epithelium. They contain clear fluid. Large cysts are seen almost exclusively in women. They are usually aymptomatic. Complications are rare and my consist of intracystic bleeding, rupture, purulent infection, compression of inferior vena cava, compression of common bile duct at its bifurcation with resulting jaundice, compression of portal vein with resulting portal hypertension, communication with an intrahepatic bile duct, torsion, carcinoma. Simple cysts of the liver, especially the solitary ones, are not associated with renal cysts. If they are multiple, they are sometimes part of the adult cystic disease involving the kidneys.
The diagnosis is made with ultrasonography. Other imaging techniques are less effective.
Differential diagnosis
includes: hydatid cyst, liver abscess, hemangioma, hematoma, cystadenoma, cystic necrotic malignant tumor, adult polycystic kidney disease when the cyst in the liver are multiple. Adult polycystic renal disease is always associated with simple multiple cysts of the liver but not vice versa
CONGENITAL POLYCYSTIC LIVER
Polycystic disease affects mostly the kidneys but it may involve also the liver, lungs, spleen and pancreas. The liver is involved in the following renal cystic patterns.
1-Adult polycystic renal disease
(hereditary autosomal dominant). It is a congenital cystic disease of long duration. It starts to give symptoms in the 3rd and 4th decade of adult life. It causes progressive renal failure and death in around the 5th and 6th decades due to progressive cyst formation replacing the renal parenchyma. About 40 % of patients have multiple cysts of the liver. Presence of cysts in the kidneys may be seen already in the fetus and in the neonate. Their presence in the liver is seen in the 20s and 30s and their frequency will progressively increase with the age. The disease is hereditary autosomal dominant with the gene localized in the short arm of chromosome 16. The transmission is therefore penetrant and the frequency is 1:500 to 1:1000 throughout the world.
2-Childhood polycystic renal disease
(hereditary autosomal recessive). This cystic disease is seen early in life, in the fetus, in the newborn, in the infant, in the juvenile and also in early adult age. The disease may be so severe in the fetus that it will be incompatible with life. In the newborn the renal cysts may be mild and the liver may show only fibrosis. In adolescents the renal lesions can be seen with ultrasonography as in adult polycystic kidney.The liver will be affected by diffuse fibrosis which will cause portal hypertension. Younger children die of severe renal disease, Older children die of severe hepatic fibrosis and complications of portal hypertesion.
The disease is hereditary but autosomal recessive. The carrier parents are not affected and only 25% of children of both carrier parents may be affected by this disorder.
3-
Medullary sponge kidney. In these kidneys the cortex is normal but the collecting tubules of the medulla are dilated and contain urine and calculi. The changes are bilateral. The affected individuals, 1:5000, develop no renal failure but nephrolithiasis. And becomes symptomatic around the 5th decade. The diagnosis is made by intravenous urography. The liver may demonstrate congenital hepatic fibrosis and Caroli’s disease.4-Medullary cystic renal disease associated with congenital malformations.
This disorder consists of medullary cysts of various sizes in the cortico-medullary junction of the kidney and is associated by other congenital malformations. The most frequent associations are those of brain malformations such as raquischisis, occipital meningoencephalocele, polydactilia, abnormalities of the heart and eyes and congenital hepatic fibrosis which compose the Meckel syndrome. Another syndrome includes Dandy-Walker malformation( cystic dilatation of the fourth ventricle and absence of the cerebellar vermis). These disorders are incompatible with life.In all above conditions the cysts in the liver vary in size. They are lined by columnar, cuboidal or flat bile duct epitheluim. The fibrous stroma contains often Von Meyenburg complexes.
In the liver the cysts are usually clinically silent unless there are complications, such as : pressure on bile ducts causing jaundice, pressure on portal vein causing portal hypertension , infection. The diagnosis is made with ultrasonography and CT scan. Prognosis of polycystic liver depends on the age of the patient and the degree of renal involvement. In adults the prognosis is good because liver cysts rarely compromise live functions. Death in these patients is caused by renal failure due to concomitant polycystic kidneys. In children , especially in the perinatal period the disease may be fatal because of the marked renal involvement.
Click on the pictures to enlarge
|
Fig. li.11-3-1 Adult polycystic disease Both kidneys are transformed into cystic masses weighing 600grams each. The patient was a 59 year old female. The cysts are large and had caused chronic renal failure. The patient was kept alive for over two years with renal dialysis. The liver was moderately involved by the cystic disease.
|
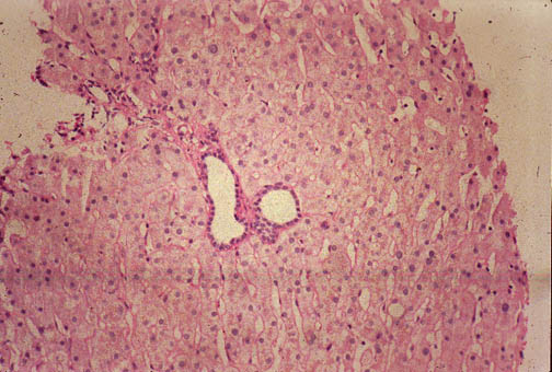
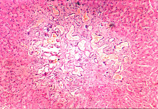
Fig. li-11-3-2. Microscopic view of the cysts.
The cysts are lined bile duct epithelium which, in these cysts, it is cuboidal. There are
also multiple Meyenburg complexes.
|
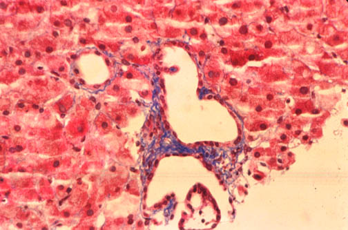
CONGENITAL HEPATIC FIBROSIS
It is characterized by expanding portal fibrosis containing proliferated and dilated bile ducts communicating with the biliary tree. It is not a cystic disease because the cysts do not communicate with the biliary tree. It is not cirrhosis because there are no regenerative nodules and no active septa with inflammatory cells. It is not Caroli's’ syndrome because in Coroli’s the dilated bile ducts are not accompanied by aggressive fibrosis and there is no portal hypertension. The initial basic disorder is probably proliferation and dilatation of portal bile ducts. The fibrosis is secondary. In this disorder the dilated ducts do not form large cysts like in polycystic disease. The disorder is inherited as autosomal recessive trait. The frequency is 1:10,000.
Clinically it causes portal hypertension which my be present at birth but it is recognized after years when it has produce complications of portal hypertension, especially bleeding esophageal varices.
Since the dilated bile ducts communicate with the biliary tree they can get infected by bacteria and develop acute ascending cholangitis similar to Caroli’s disease which is dilatation and proliferation of portal bile ducts but without fibrosis and without portal hypertension. The patient with congenital hepatic fibrosis die of complications of portal hypertension and rarely of cholangitis; the patients with Caroli’s disease die of ascending cholangitis.
Congenital hepatic fibrosis may be associated with polycystic disease intestinal lymphangioectasia, cleft palate, aneurysms of cerebral and renal arteries, pulmonary emphysema and cerebellar hemangioma
.
Fig. li-11-3-5. Congenital hepatic fibrosis. The parenchyma does not show any fibrous dissection nor regenerative nodules.
|
CONGENITAL DILATATIONS OF BILE DUCTS
Developmental dilatation disorders involve extra and intra hepatic bile ducts.
Type I - Dilatation of common bile duct
Type II- Diverticulum of common bile duct and gallbladder
Type III-Choledococele
Type IV-Multiple intrahepatic dilatations (Caroli’s syndrome)
Type V -Localized dilatations of major intrahepatic bile ducts
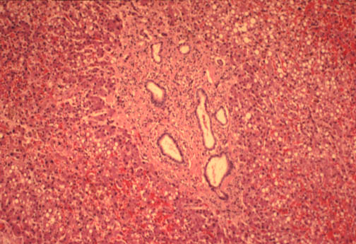
Caroli’s syndrome
It consists of multiple dilatations of portal bile ducts without aggressive fibrosis, at difference with congenital hepatic fibrosis. The syndrome, therefore, does not cause portal hypertension.
The complication in Caroli’s is infection: acute ascending cholangitis. Caroli’s changes may be associated in the majority of cases with congenital hepatic fibrosis. The associated form with congenital fibrosis is inherited as an autosomal recessive trait same as congenital hepatic fibrosis. The form not associated with congenital hepatic fibrosis is not inherited.
Strumental investigation of the biliary tree in both conditions should be avoided as much as possible because i
Click on the pictures for enlargement
|
In this case you see dilated ducts and portal fibrosis. There is a combination of congenital ductal dilatation (Caroli' syndrome) and congenital hepatic fibrosis. |
BILIARY ATRESIA
Biliary atresia is the obliteration of the lumen of the bile ducts. It may involve extrahepatic and intrahepatic ducts, separately or together.
Extrahepatic bile duct atresia is seen in 1:10000 live births and is present at birth. It is suspected when the icterus in a neonate appears in 2-3 weeks after birth and does not resolve. It is important to diagnose this condition in the first 10 weeks of life because the process tends to spread to the intrahepatic ducts and the defect from initially correctable will become non-correctable by Moiro Kasai operation of porto-enterostomy.
It is therefore imperative to intervene with corrective surgery as soon as possible, within the fist 10 weeks of life. Without surgery, the life span is 1-2 years. Surgery restores bile flow in about 50% of the cases but about 40% of the cases will develop post surgical complications which are cholangitis and less frequently portal hypertension because of progressive loss of bile ducts and development of cirrhosis. Five year survival after surgery is around 36%.
Correctable Correctable Correctable Non- Correctable
Gross pathology
The alteration may involve segments which are resectable and an anastomosis between dudenum and the remaining ducts at the porta hepatis can be made. In other cases the obliteration is more extensive involving the upper branches of the bile ducts and a similar anastomosis cannot be performed. The operation was devised by a Japanese surgeon, Moiro Kasai.
Microscopic pathology
(Gautier m, Eliot N, Arch Path & Lab Med 105:397, 1981)1)- Complete fibrous obliteration of the ductal lumen without any evidence o ductal epithelium.
2)-Ducts with altered lumina with coboidal epithelium and periluminal neutrophilic infiltration.
3)-Ducts with altered lumina and incomplete epithelium.



The intrahepatic bile duct atresia is never complete. There are almost always some interlobular bile duct in some portal fields.
It is therefore more appropriate to talk of scarcity of intrahepatic bile ducts or better in latin term:
PAUCITY of intrahepatic bile ducts. The condition is diagnosed if the interlobular bile duct/portal field ratio is 0.5 or less.The normal ratio is between 0.9 and 1.8. In order to make this evaluation it is needed to have a biopsy with a sufficient number of portal fields, at least 6. It is therefore preferable to have a wedge biopsy rather than a needle biopsy of the liver. It is also necessary to use the best stains to visualize the portal bile ducts such as
immunostains for keratins specific for bile duct epithelium.The scarcity of intrahepatic bile ducts in neonates may be an isolated
(non-syndromatic form) or it may be accompanied with other developmental defects (syndromatic form).Non- syndromatic biliary atresia.
Beyler’s Syndrome.
Paucity of intrahepatic bile ducts since birth with progressive jaundice and death in 1-2 years.
-Less common than syndromatic paucity of bile ducts.
- worse prognosis than syndromantic form.
Ethiology:Unknown. Idiopathic or associated with: rubella, alpha-1-antitrypsin deficiency, Down’s syndrome, Turner syndrome, trisomy17-18, treehydroxycoprostanic acid excess, congenital syphilis.
Pathology:
Paucity and progressive disappearance of intrahepatic bile ducts with periportal fibrosis leading to cirrhosis in 50% of cases and to hepatocellular carcinoma. Probably related to adulthood ductopenia.Clinically:
Jaundice in early life with high direct bilirubin, bile acids and alk. Phosphatase. Vit E, D, A deficiency leading to neurological changes, rickets and lickenified skin.Inheritance:
autosomal recessive form. First reported in 1969 in an Amish family named Byler.
North american indian cholestasis.
This condition was described in 1981 in 14 North American Indian children from several families by Weber (Gstroenterology 81:653,1981). It consists of jaundice, hepatomegaly and facial telangioectasia. The disease progresses to cirrhosis and death. Toward the end, the jaundice frequently disappears. Histologically the findings are those of neonatal hepatitis in very young children; later are those of post hepatitic cirrhosis. There is marked increase of pericanalicular microphilaments similar to phalloidin poisonong. The cause, therefore appears to be adysfunction of the microphilaments.
Benign recurrent intrahepatic cholestasis.
This condition was described in Lancet in 1959 by Summerskill, WHJ and Walshe JM (Lancet 2: 686, 1959).
It consists of recurrent attacks of pruritus and jaundice with clear intervals characterized by asence of signs of hepatic dysfunction. The first attack usually starts in chldhood before buberty but it may not occurr before the third decade of life.
It stars with intense pruritus and macular eruptions for one-two weeks and the by pruritus and jaundice in qui severe forms thathat my persist for a short time as two weks and for a long time as two years. The average duration is 3-4 months. Fall is the most common season. The symptom-free intervals are of variable duretion ranging from few months to several years. During the attack there is increase of serum bilibin, mostly conjugated even above 20 mg/100ml, inrease of bile acids and alkaline phosphatase. The liver bipsy sows centrolobular cholestasi and moderate mononuclear infiltration of the portal area. During free intervals the hepatic functions are normal and the liver is morphologically normal. The syndrome may be familial. The conditio is totally benign without long term sequelae.
(Familial) recurrent intrahepatic cholestasis of pregnancy.
This condtion cosista of insurgens of pruritus with or without moderate jaundice during the last trimester of pregnancy.
The form without jaundice is called "pruritus gravidarum". The syndrome promptly disappears post partum. It is attributed to the marked increase of placental and gonadal hormones characteristic of pregnancy. Such patients are also liable to develep jaundice with oral contraceptives. The condition may be familial. It is bebign to the mother but not benign to the fetus by inceasing maternal morbidity. Histologically the liver shows simple cholestasis with centrolobula intracytoplamic and canalicular retention of bile pigment without significant inflammation.
Syndromatic biliary atresia.
Aagenaes syndrome.
Tis condition was recognized In Norway by Aagenaes et al. in 1968 (Archives of Diseases in Childhood 43:646.1968)
It is also called: Norwegian cholestasis an cholestasis with lymphoedema. It consists of jaundice in the neonatal period
which may clear and recurr intermittently during life. The jaundice is accompnied with marked edema of the lower extremities. The edema persists during the period free of jaundice. The liver biopsy may show paucity of intrahepatic bile ducts, ductular proliferation and giant cell hepatitis. In adults the syndrome may cause cirrhosis.
Alagille Syndrome
The syndromatic form of this congenital disorder is more common and has better prognosis than the non-syndromatic form. It was reported for the first time by Alagille in 1975 in a patient with " hepatic-ductular hypoplasia, characteristic facies, vertebral malformations, retarded physical, mental, and sexual development and cardiac murmur. Journal of Pediatrics, 86: 63-71, 1975".
Clinical:
Juandice in infancy and childhood resolving with age, elevated serum direct bilirubin, bile acids, alk phosphatase. Def of Vit D, E, K with rickets, neuropathy and coagulopathy.Pathology:
paucity of intrahepatic bile ducts which are lost with advancing age. Loose periductal fibrosis in disappearing bile ducts. Reduction in the number of portal fields per 10 square millimeters of liver tissue(8.2 in normal, 4.5 in biliary atresia). This fact indicates a defect of embryological ramification of the biliary tract.
Similarly it has been found by angiography a defective ramification of the pulmonary arteries. The basic defect in the liver appears therefore to be a defect of embryological ramification of the portal vessels.