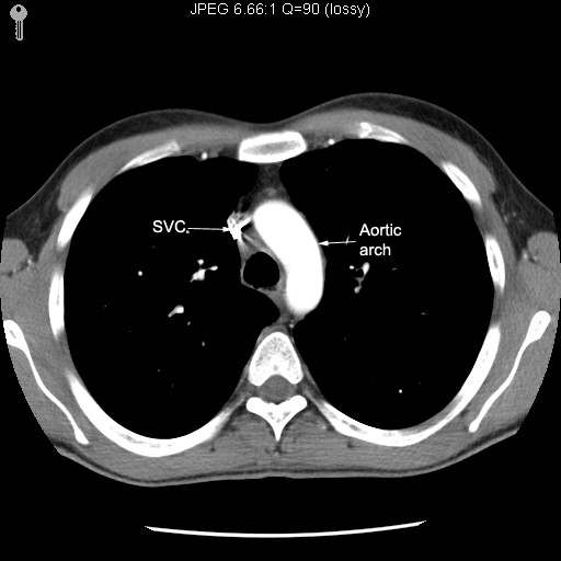
Arch of Aorta
- Origin and course:
- Begins at the level of the upper border of
the second sternocostal articulation on the right side
- Arches upward, backward, and to the
left in front of the trachea .
- At the lower border of fourth thoracic
vertebra it becomes the descending aorta.
- Relationship
- Its upper border is usually about 2.5 cm.
below the superior border of the manubrium sterni.Anteriorly and to the left
- Posteriorly and right
- Superiorly
- Brachiocephalic arteryLCCALeft subclavian artery
- Left brachiocephalic vein
- Inferiorly
- Bifurcation of the pulmonary artery
- The left main bronchus
- Branches
- Appearance in