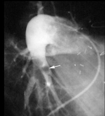
Pulmonary Angiogram: Pulmonary Embolus

Arrow points to filling defects.

 

Topic List