Scleroderma

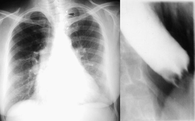
There can be significant interstitial disease with a normal CXR as seen in this patient who had marked diffusion defect. Sympathectomy clips (arrowhead) for Raynaud's phenomenon.

Dilated esophagus on barium swallow.

 

Next