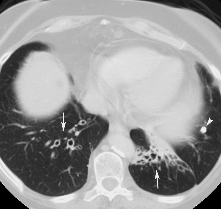
Bronchiectasis

  • Arrows point to bronchiectasis of lower lobes. Bronchi are dilated with thickened walls. Normal bronchi are not demonstrable at this level.
  • Arrowhead points to calcified granuloma.

 

Next