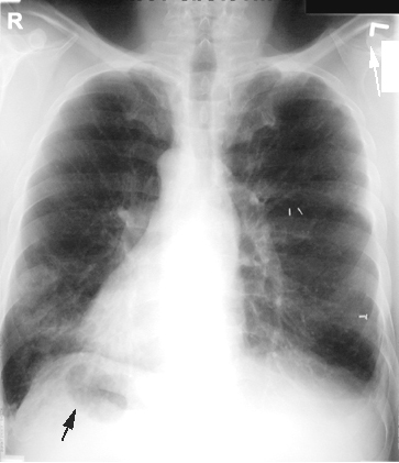
Immotile Cilia Syndrome: Situs Ineversus Totalis

Dextrocardia. Stomach bubble on right. Surgical clips from previous lobectomy for bronchiectasis. Bronchiectasis cannot be recognized from this CXR.

Next