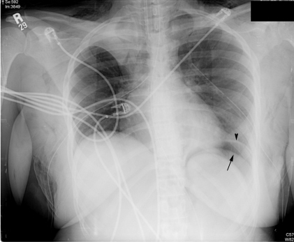
One day later, bilateral chest tubes have drained the pneumothoraces. RUL atelectasis persists and the pneumoperitoneum is more easily appreciated on the left. This case demonstrates that alveolar rupture can result in air tracking to the mediastinum, the subcutaneous tissues, the pleurae and (rarely) the peritoneum.

Arrowhead points to left diaphragm.
Arrow points to pneumoperitoneum.

Next