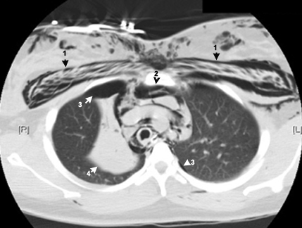
CT shows

1: Subcutaneous emphysema.
2: Pneumomediastinum.
3: Pneumothorax.
4: Collapsed right upper lobe.

Next