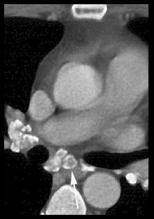
Sarcoidosis

CT: Egg shell calcification of lymph nodes

 

Next