Pancreas
- The
pancreas is 12-15 cm long and is located in the epigastrum.
- It is divided into four parts:
- The head and body
lie outside the peritoneum.
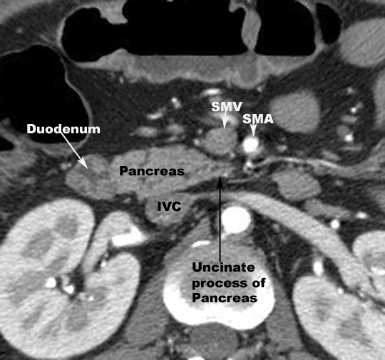
- The head of the pancreas is surrounded by
the duodenum as it makes a C-loop around the pancreas.
- The common bile
duct traverses through the head of the pancreas and joins with the
pancreatic duct at the ampulla of Vater to empty bile into the second or
descending part of the duodenum.
- Both
the pancreatic duct of Santorini and Wirsung drain the exocrine pancreas.
- Relationship:
- Head
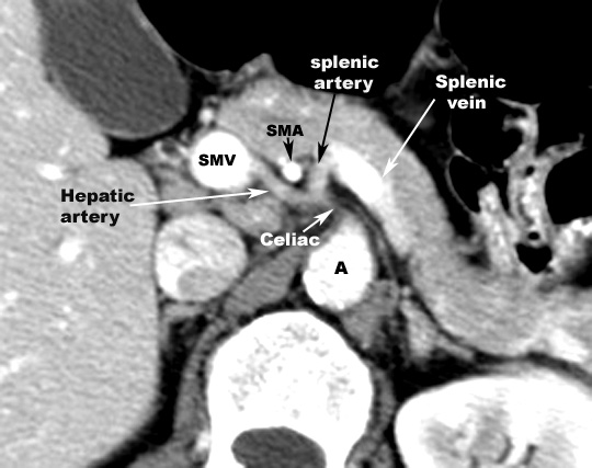
- Posterior
- SMV
- Splenic vein
- IVC
- Terminal portion of renal vein
- Right crus of diaphragm
- Anterior
- Transverse colon
- Uncinate process passes in front
of Aorta
- Lateral
- Neck
- Anterior
- Posterior
- SMV
- Beginning of portal vein
- Body
- Anterior
- Stomach separated by omental bursa
- Posterior
- Aorta
- SMA
- Left crus of diaphragm
- Left adrenal
- Left kidney
- Left renal vein
- Splenic vein
- Inferior
- Transverse mesocolon
- Duodeno-jejunal junction
- Left colic flexure
- Superior border
- Tail
- The tail of the pancreas lies in the splenorenal ligament and
enters the hilum of the spleen with splenic vessels.
Applied Anatomy