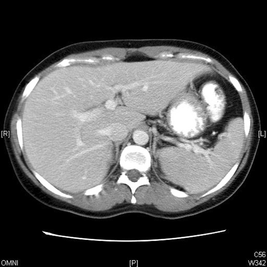
Identify the structures around the diaphragmatic crus. Click the image for labeling.