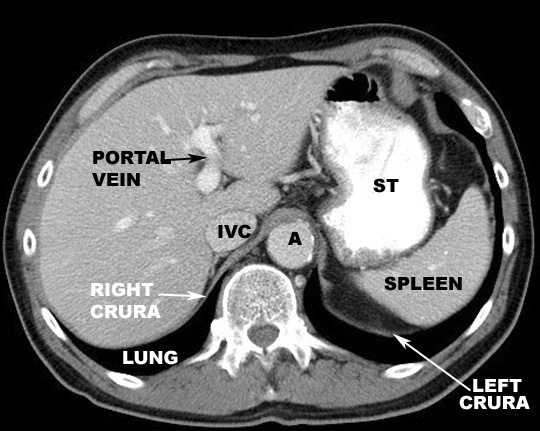
Identify the diaphragm. Click the image for labeling.