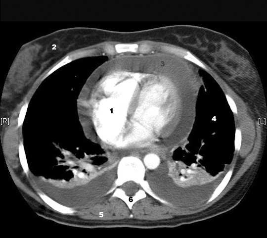
Identify the densities in the CT. Click the image for labeling.