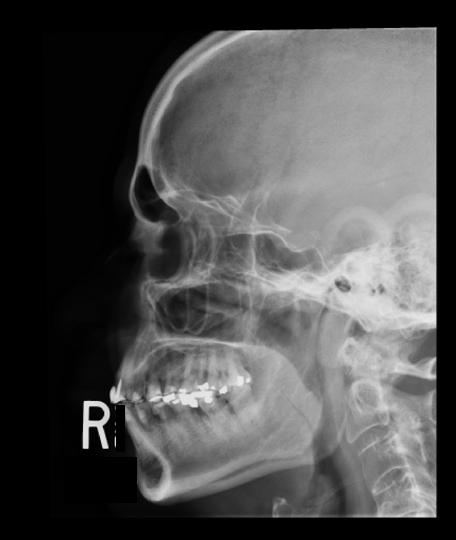
Identify the  Sinuses you see. Click on the image to see the labeled image.