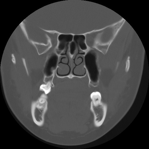
Identify the nasal turbinates, maxillary and ethmoid sinus. Click the image for labeling.