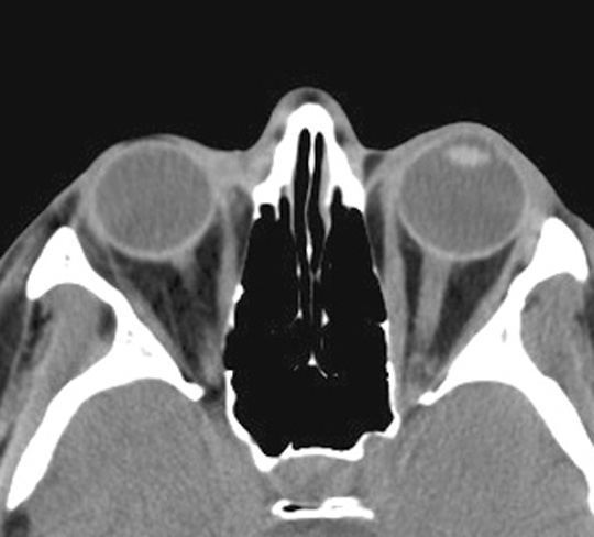
Identify the medial and lateral recti. Click the image for labeling.