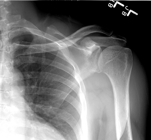
Identify the various parts seen. Click the image for labeling.