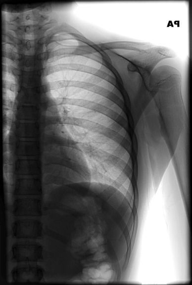
Identify the transverse process of 1st thoracic vertebra and 1st rib. Click the image for labeling.