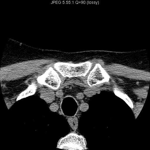
Identify the sternoclavicular joint. Click the image for labeling.