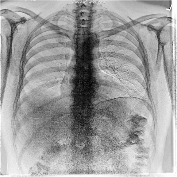
Identify the anterior and posterior ribs. Click the image for labeling.