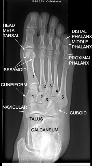
Identify the bones seen. Click the image for labeling.