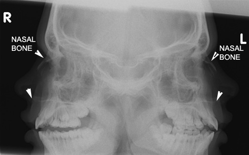
Click the image for labeling.