|
|
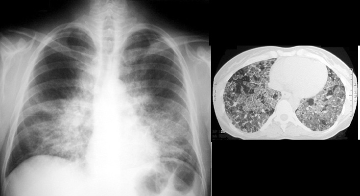
Alveolar ProteinosisBilateral predominantly perihilar and lower lobe lung consolidation is not as symmetric as the usual presentation. CT shows bilateral ground glass lung opacities containing a network of interstitial lines, the "crazy pavement" pattern. |