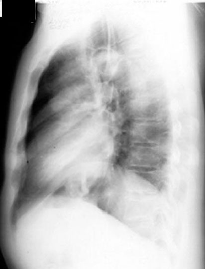
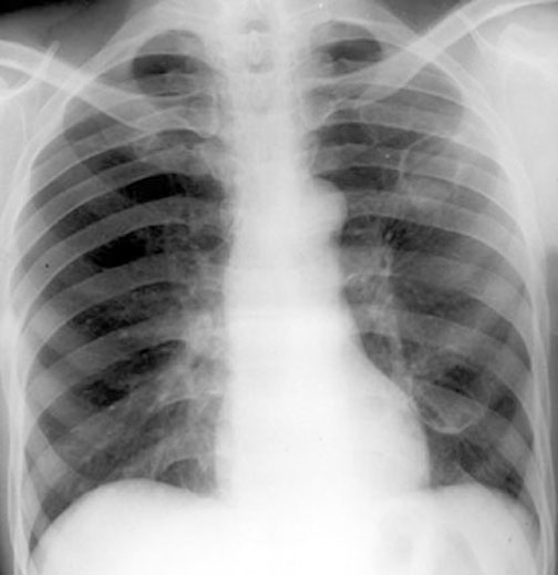
2 Thin Walled Cavities  

Old Coccidioidomycosis