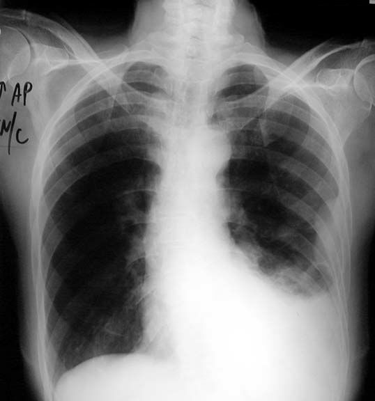
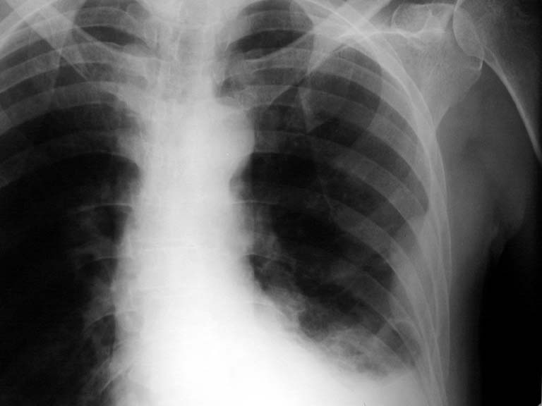
Pleural Effusion

  • Homogenous density
  • Loss of cardiophrenic angle
  • Loss of diaphragmatic and apex of heart silhouette

Other finding include:

    Chest wall mass

  • Extrapleural sign
  • Ribs intact
  • Parietal pleural mass
  • Lateral decubitus showing shift of fluid, with persistent mass at its location