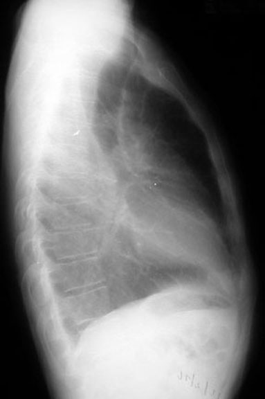
One Diaphragm (in lateral view)

You should be able to detect both diaphragms in the lateral view. If one is missing, it indicates that there is a problem in that hemithorax. By identifying which diaphragm is missing, you can locate the side of the problem. Naturally it is easy to identify the problem from the PA view.

Which lung is resected?

  • Note that you can see only one diaphragm in the film on the left. The film below  is pre-pneumonectomy, where you can identify both diaphragms.

  • The visible diaphragm has a stomach bubble underneath, indicating that it is on the left. 

  • Hence, right lung pneumonectomy has occurred.

 
Pre-op lateral film

You can see both diaphragms