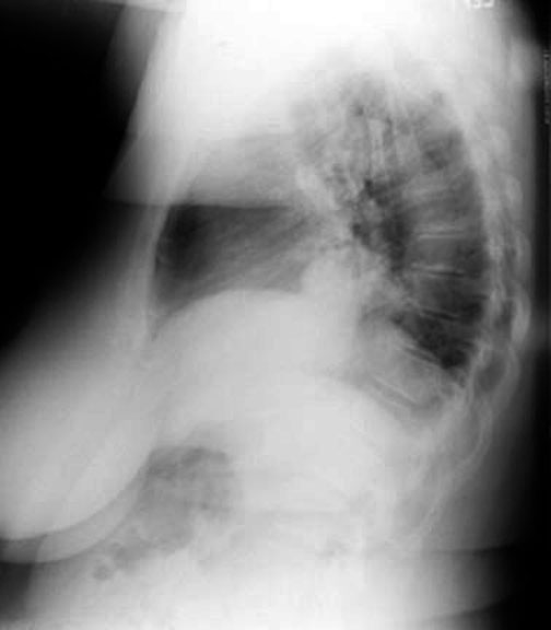
Eventration / Localized

  • Herniation of Liver