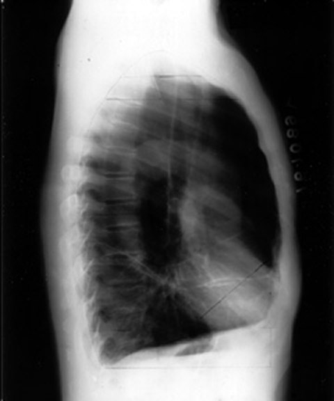
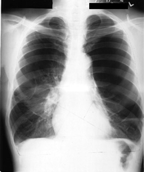
Emphysema

  • Hyperlucent lung fields

  • Multiple blebs

  • Avascular zones

  • Prominent pulmonary arteries

  • Radiologic TLC

See lateral view below.

 

  • Hyperlucent lung fields

  • AP diameter increased

  • Flat diaphragms

  • Multiple blebs

  • Retrosternal and infracardiac air

  • Radiologic TLC