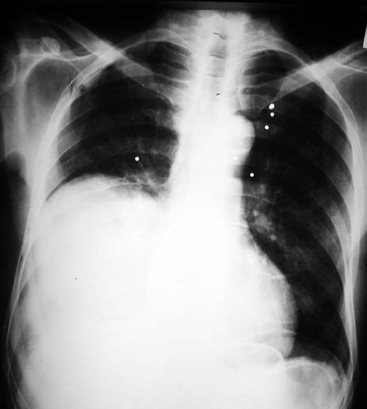
"Elevated Diaphragm"

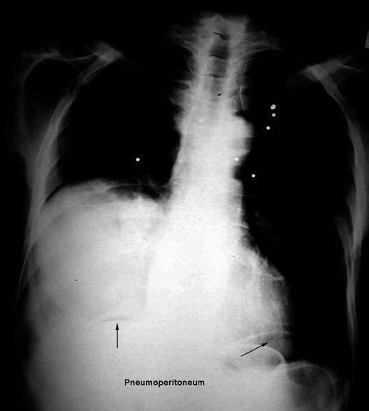
  • Note pneumoperitoneum
  • Supradiaphragmatic mass
  • Can be mistaken for elevated diaphragm
  • Pellets
Pellets