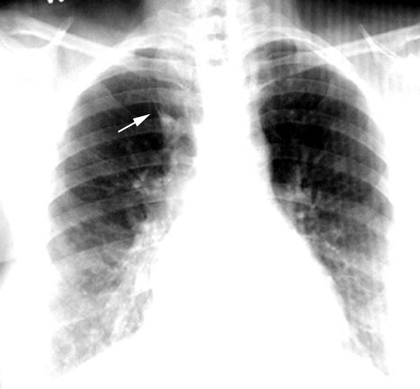
Azygous Lobe

  • Inverted comma sign

 See labeled image below.

 

Inverted comma sign